丁寧で優しい歯科治療をする狭山市入曽の歯医者

〒350-1317 埼玉県狭山市水野536-2 MIビル1F
西武新宿線「入曽」駅より徒歩3分

診療時間
9:00~13:00 × ×
14:30~18:00 × × ×

△:9:00~16:00

休診日:水曜・日曜・祝日

お電話でのご予約・お問い合わせはこちらへ

※お電話での受付は9:30~となります。

お問合せはこちら
ご予約フォーム

入れ歯治療 症例

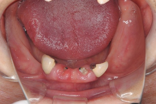
アタッチメント義歯(下顎義歯)

 

入れ歯治療を実際に終えた患者様の症例をご紹介します。

治療前

浮いたり外れたりしない下の入れ歯を製作して欲しいとのことで来院されました。

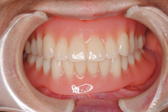
治療後

口の中で動きにくく外れにくい入れ歯ができました。

 

下顎義歯は残っている歯に「エラアタッチメント」

特殊な装置を組み込んで入れ歯の安定を図りました。

 治療期間 

1ヶ月

 費用 

アタッチメントの設置 : 5,000円(5,500円税込) ※一ヵ所あたり

※入れ歯を新しく製作する場合は別途入れ歯の製作費用がかかります。

 メリット 

金属のバネがないので入れ歯を入れても目立ちません。

カチッと入れ歯が固定されるので安定感があります。浮いたり外れたりしません。

自分の歯を利用してアタッチメントを製作するため噛み応えの良い入れ歯を作ることができます。

 デメリット(治療によりおこりうるリスク) 

アタッチメント周囲のプラスチックは症例により割れやすくなる場合があります。

保険がきかない治療になります。(自由診療)

 

 

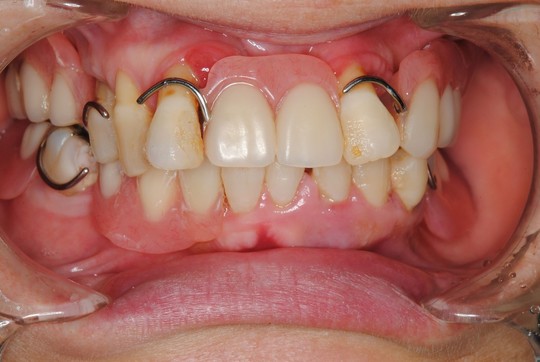
ノンクラスプ義歯(下顎義歯)

入れ歯治療を実際に終えた患者様の症例をご紹介します。

治療前

悪いところを治して上下の義歯を新しくしたいとのことで来院されました。

治療後

金属の金具が見えなくなり審美性がとても良くなりました。特に笑った時の顔に自信がもてます。

入れ歯に関しては金具が目立たない入れ歯にして欲しいとの要望がありましたので下の部分入れ歯をノンクラスプ義歯で製作しました。また、しっかりと安定して噛めるようにするため義歯は金属フレームで補強しました。

※上顎はBPS義歯を製作しました。

※下顎左右小臼歯はセラミックスクラウン修復を行いました。

 治療期間 

6ヶ月

 費用 

228,000円(250,800円税込) ※金属フレームをしない場合 90,000円(99,000税込)

 メリット 

金具のバネがないので入れ歯を入れても目立ちません。

割れにくい弾力のある素材を使用しています。

通常の入れ歯と比べて軽量化しています。

 デメリット(治療によりおこりうるリスク) 

壊れた時などの修理ができない場合があります。

保険がきかない治療になります。(自由診療)

 

 

パソコン|モバイル
ページトップに戻る