丁寧で優しい歯科治療をする狭山市入曽の歯医者

〒350-1317 埼玉県狭山市水野536-2 MIビル1F
西武新宿線「入曽」駅より徒歩3分

診療時間
9:00~13:00 × ×
14:30~18:00 × × ×

△:9:00~16:00

休診日:水曜・日曜・祝日

お電話でのご予約・お問い合わせはこちらへ

※お電話での受付は9:30~となります。

お問合せはこちら
ご予約フォーム

矯正治療 症例

小児矯正(一期治療)

小児矯正を実際に終えた患者様の症例をご紹介します。

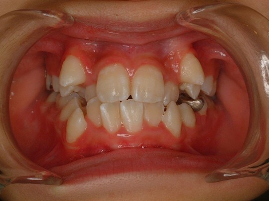
治療前

治療開始年齢 9

上下前歯部の歯並びが気になるとのことで来院されました。

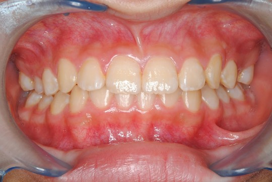
治療後

 

気になっていた前歯のガタガタも改善され綺麗な歯並びになりました。

 お口の模型とレントゲン写真をもとにした術前診査から、上下の顎の成長が弱く歯の大きさに対して顎が小さいため、本来並ぶべき場所に歯が並ぶことができないことから歯列不正が生じていることがわかりました。治療内容としては、顎の成長促進、歯列拡大床による歯列弓の拡大を目的として床拡大装置を使用した治療を行いました。

 治療期間 

3年2ヶ月

 費用 

矯正相談 : 無料

診断料  : 30,000円(33,000円税込)

矯正費用 : 300,000円(330,000円税込)

調整料  : 4,000円(4,400円税込) ※一ヶ月あたり

 メリット 

拡大床を使用するので歯を抜く必要がありません。

矯正装置移動時の痛みがほとんどありません。

治療期間が成人矯正(二期治療)と比べて短期間で終了します。

 デメリット(治療によりおこりうるリスク) 

装置の違和感を感じることがあります。

矯正装置を入れることにより歯の周りが汚れやすくなるため、通常より虫歯予防に力を入れる必要があります。

 

 

成人矯正(二期治療)

小児矯正を実際に終えた患者様の症例をご紹介します。

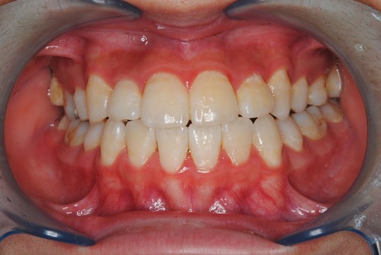
治療前

治療開始年齢 10才

上下の歯並びが悪いので直して欲しいとのことで来院されました。

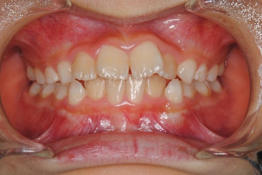
治療後

 

上下の歯並びが綺麗に並びました。

  お口の模型とレントゲン写真をもとにした術前診査から、上下の顎の成長が弱く、歯の大きさに対して顎が小さいため、本来並ぶべき場所に歯が並ぶことができないために歯列不正が生じていることがわかりました。治療内容としては、年齢的に顎の成長がほぼ終了していることから、上下小臼歯の抜歯を行って歯がきれいに並ぶためのスペースを作り、ブラケットを使用して治療を行いました。

 治療期間 

2年2ヶ月

 費用 

矯正相談 : 無料

診断料  : 30,000円(33,000円税込)

矯正費用 : 600,000円(660,000円税込)

調整料  : 5,500円(5,500円税込) ※一ヶ月あたり

保定装置 : 55,000円(税込)

※抜歯費用が別途かかります(当クリニックで行った場合は10,000円(11,000円税込)1歯あたり

 メリット 

歯並びが綺麗に改善します。

 デメリット(治療によりおこりうるリスク) 

永久歯を抜歯する必要があります。ブラケットを装着することにより歯が磨きにくいため、通常より虫歯予防に力を入れる必要があります。

 

パソコン|モバイル
ページトップに戻る