丁寧で優しい歯科治療をする狭山市入曽の歯医者

〒350-1317 埼玉県狭山市水野536-2 MIビル1F
西武新宿線「入曽」駅より徒歩3分

診療時間
9:00~13:00 × ×
14:30~18:00 × × ×

△:9:00~16:00

休診日:水曜・日曜・祝日

お電話でのご予約・お問い合わせはこちらへ

※お電話での受付は9:30~となります。

お問合せはこちら
ご予約フォーム

当院の矯正歯科

※自費診療です

経験豊富な歯科医師による矯正治療

当院の矯正治療は、矯正で15年(※)以上の経験がある院長と、矯正専門歯科医院でも勤務している歯科医師が2名体制で担当いたします。

矯正治療は専門的な知識や技術が必要な治療分野ですので、歯科医師なら誰でも治療を行えるわけではありません。矯正の経験が少ない歯科医師が治療をして、歯並びが改善しなかったり、歯や歯の根、歯ぐきにダメージを与えてしまったりという事態を防ぐため、治療の経験が豊富な歯科医師を担当としています。

専門的な知識と技術が必要な矯正治療。当院の院長にも未熟な時代がありました。そのときにどうやって学んできたのかというと、矯正治療の権威である歯科医師に独自に師事。コツコツと丁寧に矯正治療を学んでまいりました。その経験と成果から、今ではできるだけ歯を抜かない矯正治療や小児矯正、幅広い歯並びに対応できるワイヤー矯正、矯正装置が気がつかれにくいマウスピースの矯正など、さまざまな矯正治療をご提供できるようになっています。

また、当院には矯正を専門に担当する院長と歯科医師が常駐していますので、万が一装置が外れてしまったり、ご不安に感じることがあったりしたときでも、すぐに対応することが可能です。経験豊富な歯科医師たちにどうぞお任せください。

※2020年現在

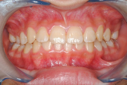
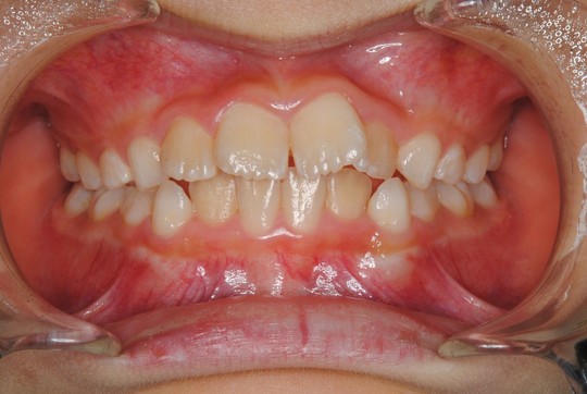
小児矯正を実際に終えた患者様の症例をご紹介します。

治療前

治療開始年齢 9

上下前歯部の歯並びが気になるとのことで来院されました。

治療後

 

気になっていた前歯のガタガタも改善され綺麗な歯並びになりました。

当院の矯正治療・安心ポイント

セファロ(頭部X線規格写真)を用いてしっかり検査

治療前には、お顔の骨格を調べることができるレントゲン写真「セファロ」を用いて検査を行っています。セファロは矯正歯科治療に特化したレントゲンです。骨格を調べることによって、あごのサイズが原因なのか、上のあごが出ているのが影響しているのかなど、歯並びが乱れる要因を調べることができます。

セファロのデータは世界共通の規格写真となっていますので、世界中の同年代のお顔立ちと比べることも可能です。これは成長期のお子様の場合に、成長の状況を知ることもできる点で役立ちます。当院では矯正治療を行う上でセファロを必須の検査として位置づけ、より精密な矯正治療を目指しております。

事前の検査と無料相談

歯並びを改善する治療は、費用も治療期間も長くかかります。患者様が簡単に決断しにくいのは当然でしょう。そんな方々を少しでもサポートできるよう、伊井歯科クリニックでは矯正治療に関する事前の検査と無料相談を行っています。

どんな治療を行うのか、治療期間はどれくらいか、どんな装置を使用するのか、今のお口の状態も含めて丁寧にご説明いたします。歯並びに関してお悩みや心配事がございましたら、ぜひお気軽にご利用ください。検査結果を元に、わかりやすくお話をさせていただきます。無料相談をご希望の方は、お気軽にご連絡ください。

矯正無料相談のお問合せはこちら

04-2950-1182
矯正治療中のお口のケアもお任せください

当院は矯正治療だけでなく、一般歯科治療も行っている歯科医院です。矯正治療を専門に扱う歯科医院では、虫歯や歯周病の治療が必要になった場合、別の歯科医院を紹介することがありますが、当院では矯正治療以外の診療も同時に行えます。

矯正治療と並行して虫歯や歯周病予防などのケアができますので、あちこちの歯科医院に通う必要がなく、気心の知れた歯科医師・スタッフのもとでお口全体の治療や改善・ケアを受けていただけます。

成長に配慮した負担の少ない小児矯正

お子様の歯並び改善には、成人と異なる治療が必要です。子どものお口や歯は、成人とは違って成長過程にあるため、今後の成長やお子様の将来を見据えなければならないのです。さらに、治療の際にはお子様の心理面への配慮が成人以上に欠かせません。

当院ではこれらのポイントをふまえ、お子様の発達段階を考慮した小児矯正をご提供しています。特に乳歯から永久歯に生え変わる時期(6歳~10歳)に始める場合、歯を抜かずに済む、費用を抑えられるなど、メリットの多い矯正治療が可能。お子様やご家族の負担を最小限に抑えられる、子どもの矯正治療に力を入れています。

お子様の矯正治療のメリット

お子様の年齢が低いうちに行う矯正治療には、次のようなメリットがあります。

  • 歯並びが悪くなるのを事前に防げる。
  • 歯を抜かなくて済むことが多い。
  • 成人になってからの矯正治療よりも、費用が安い。
  • 大人の矯正のように、治療後に悪い歯ならびに戻るリスクが少ない。
  • 上下の顎のバランスが良くなり、顔立ちが整う。

このようにメリットが多い理由は、お子様の「成長する力」を利用して矯正治療ができるからです。たとえば、顎の骨が成長する力を利用して小さな顎を横に広げれば、歯が生えるスペースを確保できるので歯並びが悪くなることを防げます。するとスペース確保のために歯を抜く必要がなくなります。また、成長する力を使って、歯並びが悪くなる前に良い歯並びへ導きますので、大人の矯正のように治療後に元の悪い歯ならびに戻ってしまうリスクを減らすことが可能です。歯ならびを悪くさせる癖や骨格などの原因から解決する治療ができるため、将来歯ならびが悪くなるケースが少ないのです。

これらは、お子様が成長段階にあるからこそ実現できるといえます。具体的には、当院では下記のような治療を行っています。

目立ちにくい透明な小児マウスピース矯正

歯ならびが気になっているものの、治療するとなると矯正装置が目立つのでは。そんな風に気にされている方も多いのではないでしょうか。

当院はそんな方でも気兼ねなく矯正治療を受けていただけるよう、「インビザライン」というマウスピース矯正をご用意しています。目立ちにくい透明なマウスピースをお口にはめるだけですので、見た目を気にせず矯正治療ができます。

インビザラインというマウスピースはアメリカ生まれで、世界中のさまざまな国々で導入されている信頼性のある矯正治療です。治療を段階別に分け、それぞれの段階に合わせて製作した透明のマウスピースを装着して歯並びを改善していきます。

インビザラインのメリット

インビザラインによる矯正治療には、次のようなメリットがあります。

  • 目立ちにくい
  • 痛みや違和感が少ない
  • 取り外し可能な装置のためお口のトラブルが少ない
  • 金属アレルギーの心配がない

マウスピースは透明ですので、目立ちにくく、取り外しが可能な点は多くの患者様に喜ばれています。矯正治療中でも、会話やお食事などをこれまでと同様にお楽しみください。大事な会議やスポーツの際にも外していただけるので、気軽に装着して治療を始められるのではないでしょうか。さらに、取り外してしっかりと歯磨きなどのケアを行えるため、むし歯や歯周病のリスクも抑えられます。

小児インビザラインファースト

治療名:マウスピース矯正
治療の説明:透明なマウスピース型の装置で行う矯正治療です。

治療のリスクや副作用:歯磨き等のセルフケアを怠ると虫歯や歯周病のリスクが高くなります。装着時間を守らないと計画通りに歯が動かない、治療期間が延びる場合があります。矯正治療が完了した後は後戻りを防ぐために保定装置を装着します。保定装置を正しく使用しないと再度矯正治療が必要になる可能性があります。歯と顎のバランスによってはご自身の歯を削る可能性があります(削る量は個人差があります)。まれに歯の根が短くなる可能性があります。装置装着後、痛みを感じることがあります(歯が動く正常な反応なので心配ありません)。頬の粘膜・唇・舌などに、口内炎ができることがあります。歯周病等で歯ぐきが下がっている方は、歯を動かすことでさらに歯ぐきが下がる可能性があります。重なっていた歯がきれいに並んだことで歯ぐきと両隣の歯との間に三角形の隙間ができる可能性があります。
治療の費用:400,000円(440,000円税込)

デンタルローン:月々 約10,000円~(約60回払い)※詳しくはスタッフまで

床矯正

床矯正は、取り外しができるお子様の矯正装置です。お子様の顎の成長を利用する治療法で、歯ぐきを覆う形の「床」と呼ばれる装置で顎の成長を促し、歯が並ぶためのスペースを確保することで歯を正しい位置に並べていきます。永久歯が生えるスペースを確保できますので、歯を抜かずに矯正治療を終えられる可能性があります。

治療のリスクや副作用:装着時に多少しゃべりづらくなる可能性があります(2,3週間ほどで慣れます)。歯列を広げる過程で少し痛みを感じる可能性があります。装置を正しく装着しないと治療期間が長くなる可能性があります。
治療の費用:400,000円(440,000円税込)

デンタルローン:月々 約10000円~(約60回払い)※詳しくはスタッフまで

ムーシールド

お子様の受け口の治療には、「ムーシールド」というマウスピース型の矯正装置を使用します。ムーシールドは、舌やお口周りの筋肉のバランスを整えることで受け口を改善する治療法です。将来的に歯を抜いたり顎の骨を削ったりするなどの治療をする必要がほぼなくなるメリットがあります。

治療のリスクや副作用:毎日の装着を怠ると良好な結果が得られません。夜寝るときに装置をお口に入れておく必要があります。生涯の歯ならびを保証するものではありません(成長によりまた受け口になる可能性があります)。
治療の費用:90,000円(99,000円税込)

矯正歯科の流れ

ご相談

歯並びや噛み合わせについて、気になることを何でもご相談ください。矯正治療について大まかな説明をいたします。

精密検査

レントゲン撮影、歯型の採取、噛み合わせ、顎の骨の状態の確認など、診断のための検査を行います。

治療計画の説明

検査結果をご説明し、治療計画をご案内します。

治療・通院

治療計画にご納得いただけましたら、治療を開始します。

治療後の観察

歯ならびが改善されたら、保定装置( リテーナー) を装着して頂きながら、経過観察を行います。

パソコン|モバイル
ページトップに戻る