丁寧で優しい歯科治療をする狭山市入曽の歯医者

〒350-1317 埼玉県狭山市水野536-2 MIビル1F
西武新宿線「入曽」駅より徒歩3分

診療時間
9:00~13:00 × ×
14:30~18:00 × × ×

△:9:00~16:00

休診日:水曜・日曜・祝日

お電話でのご予約・お問い合わせはこちらへ

※お電話での受付は9:30~となります。

お問合せはこちら
ご予約フォーム

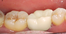
当院の審美歯科(セラミック 白い詰め物・被せ物)

※自費診療です

経験25年超。それでもなおアメリカで知識を吸収

歯や口元を美しく見せるのに効果的なのが、審美歯科治療です。まるで天然の歯のように美しい詰め物や被せ物をお作りすることで、お顔の表情まで明るくする効果が期待できます。

しかし、そのような自然で美しい審美歯科治療は、歯科医師なら誰でもできるわけではありません。治療過程での「精密な型取り」や「土台の歯を削る技術」が不可欠だからです。また、セラミックの詰め物や被せ物は割れやすいため「入念な噛み合わせの分析」も必要で、これらの治療を実現するためには、豊富な経験と精密な技術の習得が重要だと言えます。

審美歯科治療で25年(※)以上の経験を持つ院長は、現在も毎年アメリカシカゴで行われているアメリカ補綴学会に参加しています。日本からこの学会に毎年参加しているのは当院の院長のみです(※)。アメリカでは歯科治療がすべて自費診療で行われているため、歯科治療に対してとても高い水準が求められます。審美歯科治療においてもそれは同様で、シカゴで開かれるアメリカ補綴学会では、世界中から集まった歯科医師たちが症例発表などを行っています。その中には、日本よりも2年3年先を進んでいると感じられる発展的な治療もあるほどです。

日本の治療方法にとらわれることなく、日々新しい治療を取り入れ学ぶ院長ですから、美しさや長持ちのしやすさ、しっかりと機能することを重視した詰め物や被せ物をお作りできます。

※2020年現在

キレイな仕上がりの秘訣

歯を美しく見せるためにはコツがあります。歯と被せ物の縁をピッタリと合わせ、被せ物と歯ぐきの間に段差ができないようにすることです。そのためには、精密な型取りと、被せ物の土台となる歯を精緻に削る細やかな作業をどれだけ丁寧に行えるかが重要です。

当院では、変形が少なく精密な型取りができるシリコン製の型取り材を使用。さらに、「圧排糸(あっぱいし)」という道具を使って、歯と歯ぐきの境目のラインも精密に型取りができるように工夫しています。被せ物の土台となる歯を削る際も、細部まで丁寧に削ることにもこだわり、キレイな仕上がりを追求しています。

口腔内スキャナーを用いて、より精密でキレイな仕上がりへ

当院は、3Shape製の口腔内スキャナーを導入しています。「口腔内スキャナー」とは、専用カメラで撮影することでお口の中をスキャニングし、画像をコンピュータ上で解析するだけでお口の型取りができる機器。

これまでは、粘土のような材料をお口の中いっぱいに入れてしばらく我慢する、という作業でお口の中の型取りを行っていました。粘土のような材料は不快感もあり、お口の型取りが苦手といった印象をお持ちの方もいらっしゃるのではないでしょうか。口腔内スキャナーを取り入れることで、この作業が不要となり、患者様の不快感を軽減することが可能となりました。

また、カメラによるスキャニングなので、型取り材の変形もなく、精密な型を取ることができ、より精密で、見た目のキレイな詰め物や被せ物の製作を行うことができます。

噛み合わせにこだわり、お口に合ったセラミック治療をご提案

セラミックには、天然の歯のように美しい白さと、金属アレルギーの心配がないというメリットがあります。しかしその反面、金属に比べて割れたり欠けたりしやすいというデメリットも存在します。このデメリットの原因の大半は、噛み合わせです。歯が噛み合う時の力が強すぎると、割れたり欠けたりしやすくなってしまうのです。

そこで当院では、患者様の体格や噛む強さなど総合的に判断し、噛む力に耐えられる強度を持ったセラミック治療をご提案しています。また、噛み合わせが適正でない場合には、治療時に噛み合わせの調整を念入りに行い、詰め物や被せ物にかかる力をコントロールすることを徹底しています。

私たちが目指す審美歯科治療は、ただ白い詰め物や被せ物をお口に入れるだけではありません。これからも歯科医療の学びを怠ることなく、噛み合わせにまでこだわった、できるだけ長持ちする治療のご提供を目指し続けてまいります。

アメリカでの勤務経験を持つ歯科技工士

歯の詰め物・被せ物や入れ歯は通常、歯科技工士という専門家が、歯科技工所にてお作りします。この歯科技工士や歯科技工所にはそれぞれ得意分野があり、詰め物や被せ物が得意な技工所(技工士)もあれば、入れ歯が得意な所もあります。

得意な分野がそれぞれ異なるということは、歯科技工士の技術力によって、詰め物や被せ物の出来は大きく左右されるということでもあります。より良い詰め物や被せ物を製作する場合は、それらを得意とする歯科技工所に依頼するのが当然でしょう。

当院は、歯科の専門誌に症例掲載を多数行うほど腕の良い歯科技工士・清水良介氏に、詰め物や被せ物の製作を依頼しています。清水氏は、アメリカという高い水準の歯科治療が求められる国での勤務経験がある歯科技工士でもあります。その技術力は確かで、お口の中で自然に周りの歯に溶け込めるような、細かな色使いや透明度などを忠実に再現することが可能です。

歯科技工士は、歯科医師と並ぶもう一人の詰め物・被せ物の専門家。当院は一流の腕をもつ歯科技工士・歯科技工所と提携し、患者様に喜んでいただける詰め物・被せ物をお作りしています。

歯科診療・豆知識

保険診療と自費診療について

保険診療と自費診療の違いはどのような部分か、ご存知でしょうか。簡単にご説明いたしますと、保険診療は使用できる材料や治療期間などに細かいルールが決められており、ルールの範囲内での限られた治療を行います。その分、健康保険が適用できますので費用を抑えることが可能です。一方、自費診療の場合、全額の治療費が患者様負担になるものの、使用する材料や治療期間にルールがないため、自由度が高いのが特徴です。より良い材料で十分な時間をかけ、歯科医師の持てる技術を最大限に発揮した治療を受けていただけます。

両者にはこのような違いがありますので、治療内容だけを見ると、できることが限られてしまう保険診療はどうしても見劣りしてしまうかもしれません。しかし、当院は保険のルールを守りつつ、常にベストを尽くす保険診療を行っています。

また、保険と自費のどちらか一方に偏ってお勧めすることはいたしません。私たちは、保険診療でも自費診療でも、患者様のご希望に沿うよう一緒に選んだ治療を、しっかり向き合いながら真摯に、丁寧に行ってまいります。たとえ簡単なむし歯治療だったとしても、丁寧な説明・丁寧な治療・丁寧な対応をするのがモットーです。

どんな治療をしたらいいかわからない、困っている、そんな方はぜひ伊井歯科クリニックにお越しください。

白い被せ物・料金表

オールセラミック

金属を全く使用しないため、見た目がご自身の歯に近い被せ物です。変色が少ないため、長期間にわたって、キレイな状態でご使用いただけます。セラミックを何層も重ねて製作するため、天然歯と同じような透明感があり前歯におすすめの被せ物です。

治療のリスクや副作用強い力をかけると割れる(欠ける)可能性があります。土台となるご自身の歯を削る必要があります(削る量は材質や個人差によります)歯の状態によっては神経の治療が必要になる場合があります。

保証:5年(当クリニック規定あり)
治療の費用:120,000円(132,000円税込)※セラミック・ジルコニア

審美性 ★★★★★ 耐久性 ★★★★★

デンタルローン:月々 約5,000円~(26回払い)※詳しくはスッタフまで

当院オススメ キャスタブルセラミックス(e-max)

キャスタブルセラミックは、すべてがセラミック素材だけで作られた被せ物です。生まれ持った歯に近い、自然な白さを再現できます。金属を使用しませんので、歯ぐきの黒ずみが起こらず、金属アレルギーの方でも問題なく使用いただけます。

治療のリスクや副作用強い力をかけると割れる(欠ける)可能性があります。土台となるご自身の歯を削る必要があります(削る量は材質や個人差によります)歯の状態によっては神経の治療が必要になる場合があります。
保証:5年(当クリニック規定あり)
治療の費用:99,000円(108,900円税込)※セラミック・ジルコニア

審美性 ★★★★  耐久性 ★★★★★

 フルジルコニア

金属を使用しないので、歯ぐきとの境目が黒くなることがなく、綺麗な形状を維持することができます。また4層構造となっているため、歯に近い透明感や審美性が得られます。

治療のリスクや副作用:土台となるご自身の歯を削る必要があります(削る量は材質や個人差によります)歯の状態によっては神経の治療が必要になる場合があります。

保証:3年(当クリニック規定あり)
治療の費用:70,000円(77,000円税込)

審美性 ★★★   耐久性 ★★★★★

白い詰め物・料金表

キャスタブルセラミックス(e-max)

セラミック素材だけで作られた詰め物です。金属を使用しませんので、金属アレルギーの方でも問題なくお使いいただけます。歯ぐきの黒ずみが起こらず、生まれ持った歯に近い自然な白さを再現できるのも特徴です。

治療のリスクや副作用:強い力をかけると割れる(欠ける)可能性があります。土台となるご自身の歯を削る必要があります(削る量は材質や個人差によります)
保証:3年(当クリニック規定あり)
治療の費用:60,000円(66,000円税込)

審美性 ★★★★★ 耐久性 ★★★★★ 

ハイブリッドセラミック

ハイブリッドは、セラミックとレジン(歯科用プラスチック)を融合させた素材でお作りする白い詰め物です。保険診療のプラスチックの詰め物に比べ自然な白さを再現できる上、オールセラミックよりリーズナブルな価格でお求めいただけます。

治療のリスクや副作用:強い力をかけると割れる(欠ける)可能性があります。土台となるご自身の歯を削る必要があります(削る量は材質や個人差によります)
保証:3年(当クリニック規定あり)
治療の費用:36,000円(39,600円税込)

審美性 ★★★★★ 耐久性 ★★★★

白い詰め物・被せ物治療の流れ

検査

検査器具やレントゲンで、歯や顎の骨の状態を調べます。

治療計画の説明

歯や顎の骨など、お口がどんな状態か、補綴の種類を比べながらご自身のお口の中に最適な治療計画を費用面も含めご案内します。

歯を削ります

詰め物や被せ物の土台になる歯を削ります。

※虫歯の状態によっては根の治療などが数回必要な場合があります。

詰め物や被せ物を装着

詰め物や被せ物を装着します。

メインテナンス

詰め物や被せ物を長持ちさせるために、定期検診や歯のクリーニングを受けることをおすすめします。

パソコン|モバイル
ページトップに戻る