丁寧で優しい歯科治療をする狭山市入曽の歯医者

〒350-1317 埼玉県狭山市水野536-2 MIビル1F
西武新宿線「入曽」駅より徒歩3分

診療時間
9:00~13:00 × ×
14:30~18:00 × × ×

△:9:00~16:00

休診日:水曜・日曜・祝日

お電話でのご予約・お問い合わせはこちらへ

※お電話での受付は9:30~となります。

お問合せはこちら
ご予約フォーム

伊井歯科クリニックの補綴(ほてつ)治療について

 

 

こんにちは いつも伊井歯科クリニックのブログを見ていただきありがとうございます。

さて、早速ですがみなさんは「補綴」という言葉をしっていますか?まず「補綴」は「ほてつ」と読みます。補綴は歯が欠けたり、なくなった場合にクラウンや入れ歯などの人工物で補うことをいいます。

「被せ物」と「入れ歯」というとわかりやすいかもしれません。前回までのブログでは入れ歯についてお話をしてきたので今回は被せ物の治療(補綴)に関してお話をさせていただきたいと思います。

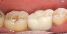
被せ物の種類には強度の点から「銀歯」が多く使われてきました。しかし現在は審美的な観点からはもちろん、以前被せ物の治療というと日本の診療では銀歯が主流でした。理由としては保険診療で行うことができるのは銀歯しかなかったからです。しかし、銀歯にはデメリットがあります。

1点目は見た目が悪くなり詰めたところが黒く見えてしまうという審美的観点、2点目は使用している金属の成分である「パラジウム」「銀」などが金属アレルギーを引き起こすという健康的観点です。そのため伊井歯科クリニックでは「ノンメタル治療」という金属を使用しない治療をお勧めしています。「ノンメタル治療」には「オールセラミックスクラウン」「キャスタブルセラミックスクラウン」「ジルコニアクラウン」の3種があり、また、保険診療でも「CAD/CAMクラウン」というプラスチックのクラウンが多くの場所で使用できるようになりました。「オールセラミックスクラウン」はジルコニアフレームに細かくセラミック(陶材)を重ねていくレイヤリングという方法を使用した方法で、審美的にとても優れています。「キャスタブルセラミックスクラウン」は二ケイ酸ガラスセラミックという素材を使用してクラウンを一体型(monolithic)で製作します。そしてその後クラウン表面に色を加えていきます(ステイニング)。こちらもとても審美的に綺麗に制作されます。ジルコニアクラウンも同様です。最近は鹿の領域でもCAD/CAM技術が発達したため、口腔内スキャナーを使用して口腔内の状態を記録し、コンピューター上でクラウンの形態を設計し、ミリングマシンを使用して製作を行う方法が主流になってきています。CAD/CAMクラウンは「キャスタブルクラウン」や「ジルコニアクランと同じように一体型(monolithic)で製作しますがステイニングを行うことができないため審美的には劣ってしまいます。しかし、それでも従来の銀歯と比べると安全性も審美性も向上していますので安心して使用できる材料となっています。詳細は診療の際にお話しさせていただきます。

伊井歯科クリニックでは「安心」「納得」のいく選択をしていただけるよう、診療でも時間をとって説明をさせていただきます。 わからないことがありましたら何なりとご質問ください。

 

医療法人博優会 伊井歯科クリニック 理事長 伊井博樹

 

パソコン|モバイル
ページトップに戻る